Панорамни снимки на зъби Варна
Без записване на час. Само за 35, 20лв./18€. В рамките на 5 мин.


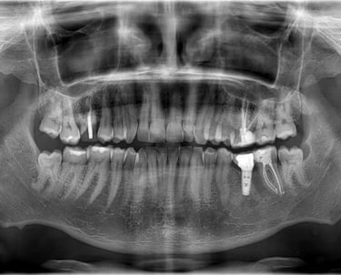
Ортопантомографията или т. нар. Панорамна снимка (зъбни снимки или снимки на зъби) показва общ изглед на съзъбието, челюстите, максиларните синуси и темпоромандибуларните стави. Изследването е стандарт в ежедневна практика на денталния лекар при сваляне на зъбния статус и прилежащите твърди тъкани, за контрол преди и след проведено дентално лечение. Чрез нея се откриват вродени аномалии, патологични процеси, фрактури, кисти и положението им спрямо костта, състоянието на алвеоларния гребен, съотношението между синусния контур и апексите на зъбите, използва се за визуализация на зъбни зародиши при ортодонтско лечение и др.
Контакти
Адрес
Владиславово, ДКЦ 3, ет.3, каб. 310
Работно време
Понеделник - Петък
9:00 - 19:00
Събота и Неделя - със запазване на час
Телефон
089 797 1502


